Kieferorthopädie Praxis Duisburg-Meiderich – Dr. Samer Khazndar

Dein Lächeln Dein Style.

Moderne Kieferorthopädie in Duisburg-Meiderich:
Komfortabel, unauffällig und easy im Alltag.

Online · Schnell · Ohne Stress

10+
Jahre Erfahrung
4.5
Google Bewertung

Leistungen

Schonende, moderne kieferorthopädische Behandlungen für ein gesundes Lächeln.

Klassische Brackets
icon

Klassische Brackets

Unsere klassischen selbstligierenden Brackets bieten eine moderne, effiziente Lösung zur Zahnkorrektur. Sie kommen ohne zusätzliche Gummis oder Drähte aus, da der Draht direkt im Bracket fixiert wird. Das reduziert Reibung, schont das Zahnfleisch und ermöglicht eine sanftere und oft schnellere Behandlung.

Ästhetische Brackets
icon

Ästhetische Brackets

Ästhetische Brackets sind eine moderne und besonders unauffällige Möglichkeit, Zahnfehlstellungen zu korrigieren. Im Gegensatz zu klassischen Metallbrackets bestehen sie aus zahnfarbenem Keramikmaterial und passen sich dadurch harmonisch an die natürliche Zahnfarbe an.

Unsichtbare Zahnspangen (Aligner)
icon

Unsichtbare Zahnspangen (Aligner)

Unsichtbare Zahnspangen, auch Aligner genannt, sind eine moderne und nahezu unsichtbare Methode zur Korrektur von Zahnfehlstellungen. Die transparenten Kunststoffschienen werden individuell für Ihre Zähne angefertigt und bewegen die Zähne Schritt für Schritt in die gewünschte Position.

Knirscherschiene (Aufbissschiene)
icon

Knirscherschiene (Aufbissschiene)

Viele Menschen knirschen oder pressen unbewusst mit den Zähnen, besonders während des Schlafes. Dieses sogenannte Zähneknirschen (Bruxismus) kann zu Zahnschäden, Verspannungen der Kaumuskulatur, Kopfschmerzen oder Schmerzen im Kiefergelenk führen.

Abdruckfreie Praxis
icon

Abdruckfreie Praxis

In unserer Praxis verwenden wir moderne digitale Scanner, um präzise 3D-Aufnahmen Ihrer Zähne und Ihres Kiefers zu erstellen. Dadurch können wir auf herkömmliche Zahnabdrücke mit Abdruckmasse verzichten.

Bleaching und Professionelle Zahnreinigung
icon

Bleaching und Professionelle Zahnreinigung

Ein strahlend weißes Lächeln wirkt gepflegt und attraktiv. Mit einer professionellen Bleaching-Behandlung können verfärbte oder nachgedunkelte Zähne schonend und effektiv aufgehellt werden.

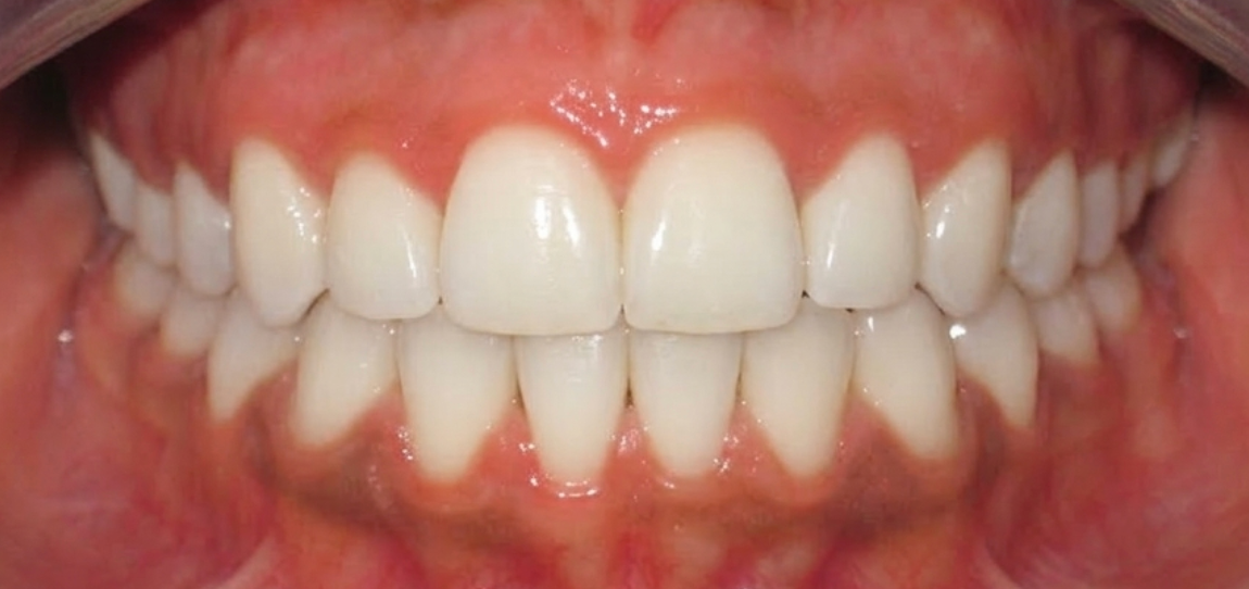
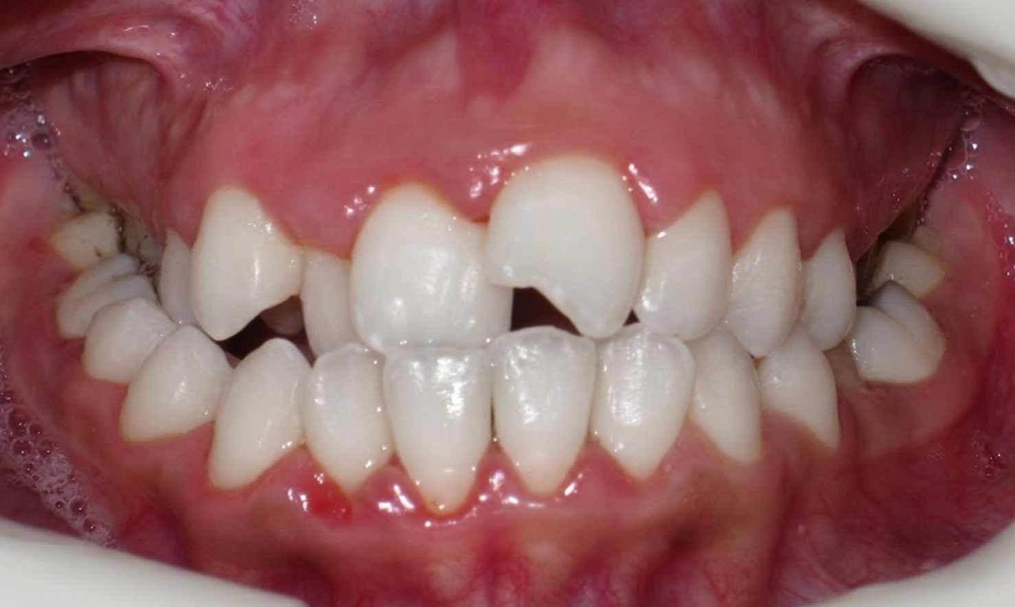
Unsere Patienten vor und nach der Behandlung

Ausgewählte abgeschlossene Behandlungen mit ihren Vorher‑/Nachher‑Ergebnissen.

Alle anzeigen
After
Before

Orthodontist Samer Khazndar

<>

Entdecken Sie unsere Praxis

Machen Sie einen virtuellen Rundgang durch unsere moderne Praxis.

Clinic 1
Clinic 2
Clinic 3
Clinic 4
Clinic 5
Clinic 6
Clinic 7
Clinic 8

Karriere

Zurzeit sind keine Stellenangebote verfügbar. Schauen Sie bitte später wieder vorbei.

Karriere bei unserer Praxis

FAQ (Häufig gestellte Fragen)

In der Regel achten die Zahnärzt*innen bei der Behandlung von Kindern darauf, wann sie eine Überweisung an einen Kieferorthopäden empfehlen. Sobald sich ein Korrekturbedarf zu erkennen gibt, erhalten die Eltern einen entsprechenden Hinweis. Erfahrungsgemäß startet die Behandlung von Kindern und Jugendlichen mit der Phase des Zahnwechsels und Kieferwachstums im Alter von 9 – 14 Jahren. Auch bei früher erkenntlichen Fehlstellungen können wir in unserer Praxis in Duisburg-Meiderich kindgerecht behandeln.
Bei Kindern und Jugendlichen kommen die gesetzlichen Krankenkassen in der Regel für die Kosten eines einfachen Behandlungsstandards auf. Je nach Befund werden dann bis zu 90% der Kosten unmittelbar – und der Rest nach erfolgreichem Abschluss der Behandlung bezahlt. Besondere Behandlungsformen, wie eine unsichtbare Zahnspange, müssen privat finanziert werden. Bei Erwachsenen tragen die Krankenkassen nur in Ausnahmefällen die Kosten einer kieferorthopädischen Behandlung. Gerne berät das Team der Kieferorthopädie Meiderich Sie zu Ihren Möglichkeiten.
Als Spezialist für die Korrektur von Fehlstellungen bieten wir eine breite Auswahl modernster Behandlungsmethoden an. Von der klassischen Zahnspange mit Draht (fest oder lose) bis hin zu modernsten, unsichtbaren Zahnspangen, bietet unsere Praxis Ihnen alle gängigen Methoden an. In einem Beratungsgespräch besprechen wir gerne die unterschiedlichen Optionen mit Ihnen, um für Sie oder Ihr Kind das beste Ergebnis zu erzielen.

Kontakt

Die Praxis

Von-Der-Mark-Strasse 52
47137 Duisburg

Arbeitszeit

Montag bis Donnerstag
08:00 – 12:00
13:00 – 18:00

Mittagspause

12:00 – 13:00

Geschlossen

Freitag-Samstag-Sonntag

Praxisnummer
0203 – 4497550